ACL Tear

ACL Tear

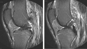
The ACL (anterior cruciate ligament) is one of the most commonly injured ligaments of the knee (ACL Tear). The ACL provides support for lateral movements and quick bursts of speed. The risk of an ACL injury is higher in people who participate in high-risk/high-speed sports like football, soccer, basketball, rugby, and skiing.

Occurrence of ACL Tear

Seventy percent of ACL injuries occur through non-contact mechanisms such as pivoting, sidestepping maneuvers or awkward landings where the individual is not in control. The other 30% of ACL injuries occur from direct impact, such as a forceful tackle on the outer side of the knee.

Patients with an ACL injury usually experience a “pop” in the knee at the time of injury followed by pain and swelling around the knee over the next 24-48 hours. Some individuals who suffer an ACL tear feel that their knee is unstable and are unable to support their body weight. The knee then becomes stiff and sore for 2-3 weeks during which time it is helpful to participate in physical therapy to regain motion, strength and daily function

ACL Tear

Many athletes eventually undergo ACL tear surgery to reconstruct the torn ACL, but treatment should be individualized based on each person’s activity level and goals.

Knee Arthroscopy Gallery

To see pictures of a torn ACL, including before-and-after pictures of ACL reconstruction surgery, please visit our knee arthroscopy gallery.

If you have an ACL tear pain, call (310) 595-1030 to schedule a consultation with Beverly Hills orthopedic surgeon Dr. Millstein.