Knee Arthritis Treatments

If you are suffering from knee arthritis, you are not alone. Nearly 1 in 3 adults suffer from arthritis or other chronic joint symptoms. There are over 100 different types of arthritis diseases, and although it is most common among the elderly, it can affect people of all ages.

What Are The Symptoms of Knee Arthritis?

Generally, the pain associated with knee arthritis develops gradually, although sudden onset is also possible. Arthritic joints are swollen or inflamed, usually because the smooth cartilage around them has been damaged in some way. This makes it difficult to bend or straighten the knee. Usually, the pain and swelling is worse in the morning or after a period of inactivity. Pain may also increase after activities such as walking, stair climbing, or kneeling.

Types of Arthritis

Although there are over 100 different types of arthritis diseases, there are three basic types.

Osteoarthritis (OA)

Osteoarthritis is the most common form of knee arthritis. It is usually a slowly progressive degenerative disease, in which the joint cartilage gradually wears away. Osteoarthritis is most common in middle-aged and older patients.

Rheumatoid Arthritis (RA)

Rheumatoid arthritis is an inflammatory type of arthritis that can destroy the joint cartilage. It can occur at any age and generally affects both knees.

Post-Traumatic Arthritis

Post-traumatic arthritis can develop after an injury to the knee. This type of arthritis is similar to osteoarthritis and may develop years after a fracture, ligament injury, or meniscus tear.

Knee Arthritis Treatments

Unfortunately, most types of arthritis are currently incurable, but today´s wide range of treatment options can be very effective. The effectiveness of different treatments varies from person to person. The choice of treatment should be a joint decision between you and Dr. Millstein.

Nonsurgical Treatment Options for Knee Arthritis

In its early stages, arthritis of the knee is treated with nonsurgical measures. Nonsurgical treatments include lifestyle modifications, exercise, supportive devices, and other methods like water exercises and the use of elastic bandages. Lifestyle modifications can include losing weight, switching from running exercises to swimming, and minimizing activities that aggravate the condition. If a patient is overweight, losing weight may also reduce the stress on weight bearing joints and reduce pain.Specific exercises will help increase

Specific exercises will help increase range of motion and flexibility, and strengthen the supporting muscles. This is an effective method for reducing pain and improving function. We can help you develop an individualized exercise program that meets your needs and lifestyle.Using a brace or other supportive devices, like inserts and knee sleeves, can assist with stability and function. An “unloader” brace shifts load away from the affected portion of the knee, while a “support” brace helps support the entire knee load. Both braces have been proven to effectively take pressure off of injured knees.

Using a brace or other supportive devices, like inserts and knee sleeves, can assist with stability and function. An “unloader” brace shifts load away from the affected portion of the knee, while a “support” brace helps support the entire knee load. Both braces have been proven to effectively take pressure off of injured knees.

Knee Drainage

One of the more common symptoms of arthritis is swelling of the knee joint. When the knee becomes swollen, increased fluid in the tissues throughout the joint may cause pain and decreased mobility. In many cases, swelling subsides with rest, ice, and anti-inflammatory medication. However, if the swelling continues or worsens despite these treatments, a simple procedure known as knee drainage can be very effective for relieving knee pain and stiffness.

Dr. Millstein offers knee drainage as an in-office therapeutic technique to remove excess fluid from the joint space. While lying down on an exam table, you will be given a local anesthetic to numb your knee. A needle and syringe are then inserted into the side of the kneecap and used to draw fluid from within the joint space. After the excess fluid has been removed, Dr. Millstein may administer a steroid injection to the knee to help prevent future swelling. Most patients who receive knee drainage experience immediate pain relief and a significant reduction in knee stiffness

Drug Treatment

There are several drugs commonly used to treat arthritis of the knee, including but not limited to, aspirin, acetaminophen, and ibuprofen. Simple pain relievers are available without a prescription and can be very effective in reducing pain. However, every patient is different and not all patients respond the same to medications, so Dr. Millstein will develop a program for your specific condition.

Surgical Treatment

If nonsurgical treatments are not enough, you will need to have surgery. As with nonsurgical options, the purpose of surgery is to reduce pain, increase function, and generally, reduce your symptoms. Patient satisfaction is a fundamental goal in treating arthritis of the knee. There are a number of options available, including cartilage grafting, arthroscopic surgery, total or partial knee arthroplasty, and osteotomy.

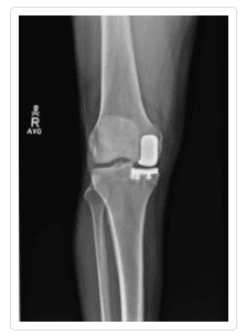
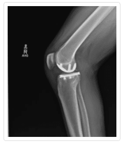
Knee Arthritis Gallery

To see more examples of knees with arthritis, please visit our knee x-ray gallery.

If you are suffering from knee arthritis, you are not alone. To learn more about knee arthritis and different treatment options, schedule a consultation with Dr. Millstein today by calling (310) 595-1030.