Osteoarthritis of the Shoulder

Osteoarthritis (degenerative joint disease) is an orthopedic injury that occurs when the cartilage that protects and allows the joints to move begins to wear down or degenerate, potentially causing the bones of the joints to scrape against one another with every movement. Shoulder osteoarthritis (OA) is a shoulder injury that is most common among people who are over the age of 50 after years of wear and tear on the joint. Younger adults experience osteoarthritis of the shoulder either as a result of hereditary predisposition or from an injury or trauma to the shoulder, such as dislocation. This arthritic condition is particularly common in people who work in jobs that require repetitive movements and physical activity, such as athletes or construction workers.

Symptoms of Shoulder Osteoarthritis

The most common symptom of shoulder osteoarthritis is pain, which can occur when moving the shoulder and even when the shoulder has returned to a resting position. Pain may also occur while you are sleeping. Many patients also experience a decrease in the range of motion of their shoulders, swelling, tenderness, and may even produce a creaking noise when moving the joint.

Treating Osteoarthritis of the Shoulder

Depending on the level of cartilage degeneration, men or women suffering from shoulder osteoarthritis can find relief through conservative methods, such as simply resting the joint, taking over-the-counter pain medication, and avoiding activities or movements that contribute to the painful symptoms of OA.

Other conservative, non-surgical methods for treating shoulder osteoarthritis include:

  • Applying ice to the shoulder
  • Physical therapy
  • Increasing flexibility with range-of-motion exercises
  • Corticosteroid medication
  • Dietary supplements

It is important to see an orthopedic specialist to evaluate the level of care and treatment necessary to alleviate pain and prevent further damage caused by arthritis. Dr. Eric Millstein will conduct a thorough exam involving X-rays, blood tests, MRI scans, and removal of synovial fluid (fluid that lubricates the joint) to determine the best course of action.

In the event of more severe degeneration of the shoulder joint cartilage, surgery may be recommended. These shoulder osteoarthritis procedures include:

Resection Arthroplasty – This shoulder osteoarthritis procedure involves surgically removing about half an inch of the collarbone to create space between the acromion (roof of the shoulder) and the collarbone. As the body heals, scar tissue will fill in the space, allowing the joint to move without the bones rubbing together. The surgery is minimally invasive, requiring only a small incision at the acromioclavicular (AC) joint.

Using an endoscope, which is a small camera and light the size of a pen, Dr. Millstein can remove a precise segment of the collarbone and remove it through the small incision without damaging or affecting the surrounding tissue and bones.

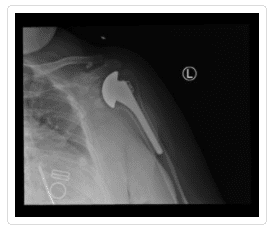
Total Shoulder Arthroplasty – A shoulder joint replacement surgery involves removing damaged bone and tissue and replacing them with artificial pieces or prosthesis. The procedure may involve only replacement of the head of the humerus bone or replacement of the entire ball and socket (glenoid) joint. The artificial components, made of metal or plastic, may be cemented into place or “press fit” into the socket if the bone is still in good condition.

Hemiarthroplasty – Also known as a partial replacement, a hemiarthroplasty involves replacing the humerus or arm bone with a prosthetic metal implant while the shoulder joint is left more or less intact. The shoulder osteoarthritis procedure may involve replacing the head of the humerus with a metal ball and stem as well as the arm bone or simply resurfacing the humerus head with a prosthesis that fits over the bone like a cap, preventing further wear and tear.

Recovering from Shoulder Osteoarthritis Surgery

Regardless of whether you have undergone a total shoulder joint replacement or a resection arthroplasty for arthritis of the shoulder, the healing process is crucial for a successful outcome. Most patients are advised to wear a sling to stabilize the arm and shoulder for three to four weeks. Some physical therapy and range-of-motion exercises as the joint heals can help maintain motion and strength in the shoulder. In total, patients can expect to focus on their recovery for several months and avoid certain activities, such as running, playing sports, taking high-impact exercise classes, or other strenuous activities outside of the physical therapy and exercises recommended by their doctor. Contact Dr. Millstein prior to any new activities that may put too much strain on the shoulder after arthritis surgery to discuss whether they are safe.

Contact Beverly Hills Osteoarthritis Surgeon

Dr. Eric S. Millstein is a board certified orthopedic surgeon with expert experience in arthoscopic surgery for shoulder osteoarthritis and injuries . If you or a loved one is experiencing shoulder pain, do not wait to contact Dr. Millstein and his staff for a comprehensive examination and personalized treatment plan. No matter which treatment is chosen, Dr. Millstein strives to restore painless function and preserve as much healthy tissue as possible.To schedule an appointment today, please call 310.595.1030 or contact us online.